歯根破折の原因を考える

左上6.7番がなくて、入れ歯を使っています。噛みやすいのは、
そうすると右下のブラッジで噛むことになるます。すごい酷使する
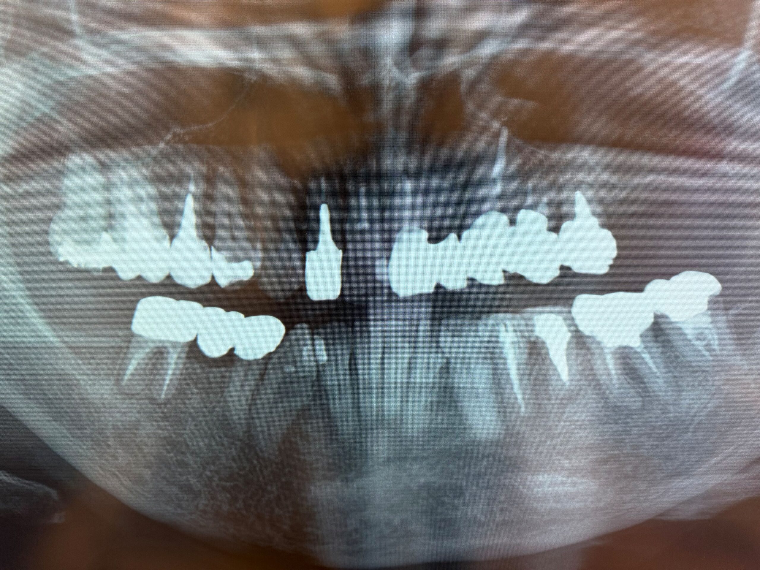
おっ。やっぱり。

その結果、歯肉が腫れていると。
ブリッジを外し、土台を外した結果、根が破折していました。
原因は、このヒビです。
この方は、今日ブリッジを外したので左右噛みにくくなり 急激に食事が不便になるでしょう。
そこでインプラントの必要性が出てきます。
奥歯で噛めなくなると、お肉や魚が食べられなくなって、タンパク
高齢になり筋力の落ちる原因は、運動不足とタンパク質が足りてい
患者さんには、噛めない事で、これから起こりうる事象を知っても
噛めることは、美容と健康の入り口!
30年後も美味しく食事ができる。
幸せで豊かな人生を一緒に目指しませんか?
メインテナンスを含めた、歯科医院とか新しい付き合い方が自分の
と話しました。
全ては、患者さんの笑顔のために・・・・
下田孝義








