バイコンインプラントの神仕様
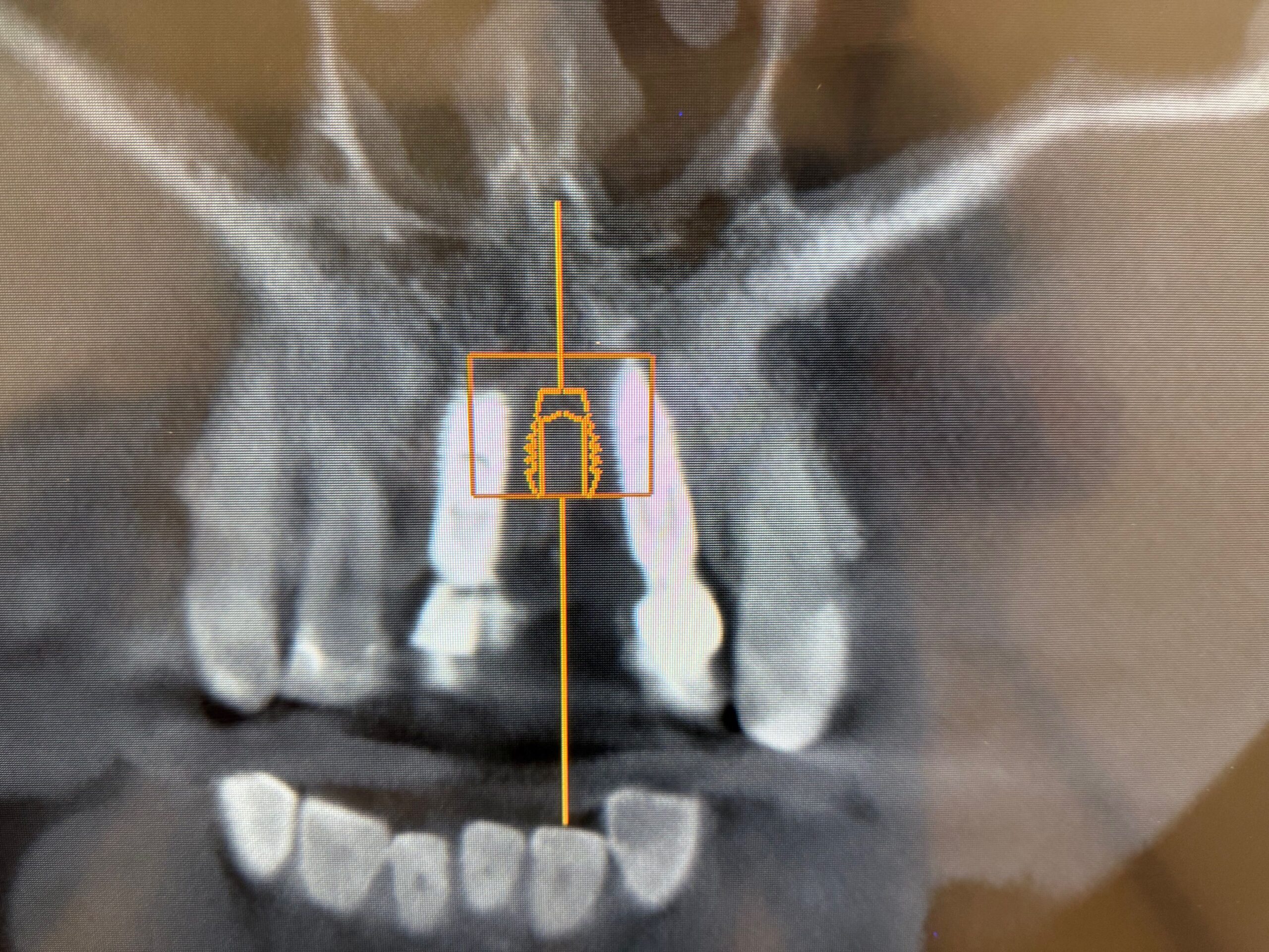
バイコンインプラントは、インプラント間距離が1mm程度あれば
ねじ込むのでは、なく。
打ち込むところに特殊性があります。
過度に骨を圧迫しないで埋入するので、隣のインプラントと近くて

実際、インプラント治療を長年やっていると、初めは、天然歯があ

他社製品を使って、この場所にインプラントをすることは不可能で
清掃性悪いのでなるべくはしたくないです。
バイコンインプラントの応用範囲は、創意工夫で大きく変わります
ちなみにこの他社インプラント間の埋入は、初めてのケースです。
10年前なら無理でしたね。
そして、20年間開業したから、必要とされるテクニックなのでし
長くやることでハートフル歯科のインプラントテクニックは、必要
全ては、患者さんの笑顔のために・・・・
下田孝義








